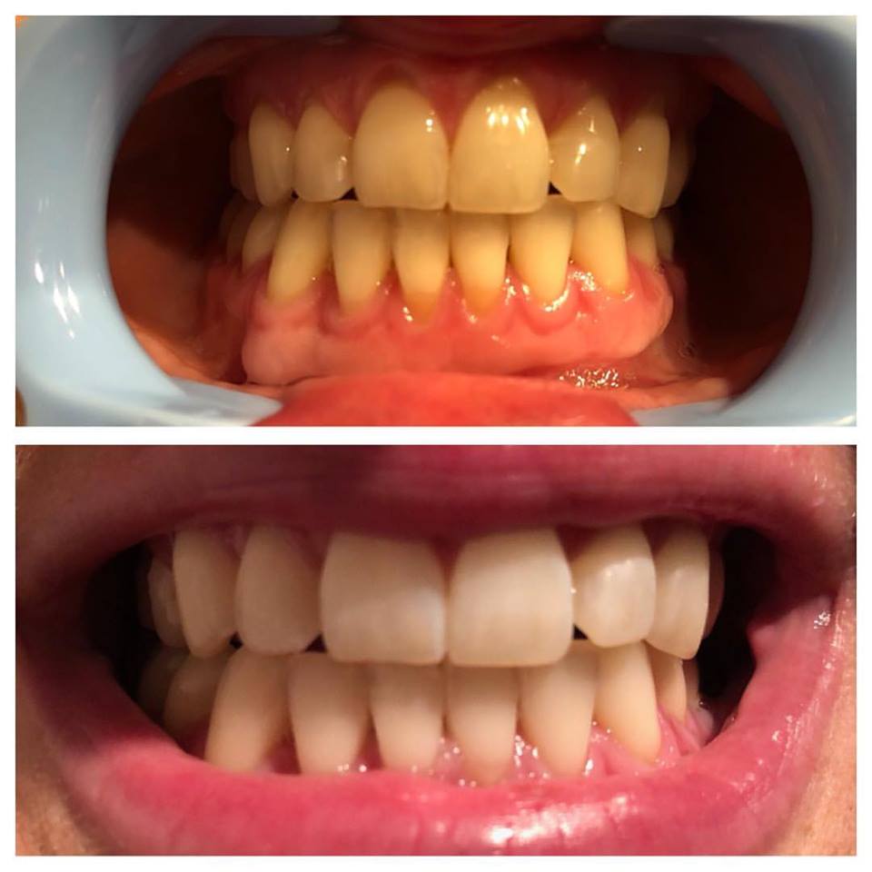
First Glance Teeth Whitening in Bend, OR provides professional teeth whitening services. The experience is described as painless, easy, comfortable, and wonderful. The process is explained well from start to finish by a staff member who is professional, kind, informative, patient, and a perfectionist. The results are high quality, with teeth turning out so good and shockingly white, offering the whitest teeth ever that last. The services are also noted as affordable. Customers are very happy, highly recommend the business, and plan to return, stating there is no comparison to other methods.
Lisa is professional and efficient. She explains everything in detail so there are no surprises. I did have some sensitivity the evening of the procedure (which she told me to expect) but a couple of Advil did the trick and I was fine the next morning. Her studio is well appointed, comfortable and there is parking at the... read full comment
October 2025
Great experience at First Glance! Highly recommend!
May 2025
Lisa is great! So painless and a great experience. From start to finish the process was sooo easy! I’ve been twice now and each time was great!